随着精准医疗相关技术成熟度的不断提升,以及公众对于精准治疗接受度的不断提高,医疗行业开始进入数字化、智能化转型升级的新阶段。
3D数字化及3D打印技术目前在口腔修复、定制化假肢、手术导板、植入物等领域得到了广泛的应用。尤其在骨科这个细分医疗场景中,3D技术所扮演的角色也越来越重要,正慢慢融入骨科术前规划、制作手术导航定位模板、定制个性化假体与内植物、定制外固定支具等医疗环节。
应用案例
广东省肇庆市怀集县第一人民医院,近期接诊了一位前右足部扭伤史长达十年、55岁的患者黄女士。右足背疼痛、行走功能受限等症状的反复出现,给黄女士的健康及日常生活带来了明显不便。
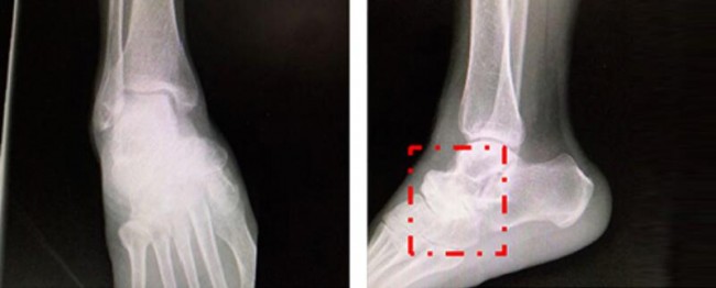
经怀集县人民医院进行X线片、CT、MR等传统影像检查,初步诊断为:1.右足舟骨坏死。2.右距舟关节骨关节炎。3.右跟骰关节骨关节炎。拟行右距舟关节、跟骰关节融合术。
针对该患者病情,借助3D技术的三维设计手术治疗方案,由国家人体组织功能重建工程技术研究中心,华南理工大学医学院人体解剖教研室,附属二院暨广州市第一人民医院骨科丁焕文教授主导制定,怀集县人民医院骨科、树蚁智能数字化精准外科云服务系统以及先临三维共同参与设计及实施。
丁焕文教授团队结合患者症状、体征临床诊断为Muller-Weiss病。通过3D精准定位确认患者病变部位为附横关节。通过会诊讨论,决定为患者实行“足内侧柱延长、距舟关节融合、距骨骰骨融合固定”手术。
3D打印骨科手术导板是根据术中需要而采用计算机辅助设计、3D打印制备的一种个性化手术器械,用于术中准确定位点、线的位置、方向和深度,辅助术中精确建立孔道、截面、空间距离、相互成角关系及其他复杂空间结构等,3D打印定位导板的使用将比单纯依靠医生经验和手持工具操作更为精准。
团队在本次手术方案设计中将采用3D打印定位导板,辅助医生准确定位螺钉入点与方向,将患者足部的距舟关节融合固定以及骰骨和距骨融合固定。手术导板辅助使内固定螺钉植入微创化,同时导板引导准确显露距舟关节,减少了手术创伤。另外导板引导精准置钉也减少术中“C”臂X光机使用次数,大大减少了患者和医护人员的X射线沾染。
针对病人患部,在足部三维模型的基础上用CAD设计软件,定制设计了导板三维模型,并利用3D打印设备将导板与足部模型打印出实物,用于术前模拟与手术使用。
术前模拟(导板:尼龙打印;足部模型:Stratasys J750 3D打印)
导板定位相较于传统方式,在术中更利于精准定位。但是,如果导板的佩戴位置有偏差,对于手术的成功与否就有很大的影响。如何让定位的工具位置更准确,就是此次EinScan Pro 2X Plus的任务。
术前,丁焕文教授团队将3D打印定位导板戴在患者右足上,然后利用EinScan Pro 2X Plus多功能手持3D扫描仪对佩戴导板的手术部位进行扫描。用扫描数据与原始重建数据做对比,再次确认导板位置是否准确。
术中,丁焕文教授团队将消毒后的3D打印定位导板再次戴在患者右足背上,然后利用EinScan Pro 2X Plus多功能手持3D扫描仪扫描患者小腿与足部。了解手术导板安放位置有无偏差、引导位置调整,使手术导板安放准确,然后引导精准置钉和距舟关节切开融合。在新技术辅助下顺利完成手术。
随着3D技术与临床医学的深度融合发展,丁焕文教授带领的虚拟应用解剖研究团队、骨科团队在数字骨科领域走在了前沿,所开展的精准修复重建的方案在创伤、关节、脊柱、肿瘤和畸形矫正等方面均颇有建树。
近年来,国内各省市政府部门也逐步推动关于3D打印医疗服务项目的政策。其中,在2019年广东省新增医疗项目(三)250类中,约20类与三维扫描、计算机设计和3D打印相关。
今年7月,广东省医疗保障局在发布的《广东省医疗保障局关于部分医疗服务价格项目公开征求意见》公示项目中,个体化3D模型重建、个体化3D模型制备、个体化3D手术导板制备、个体化3D可视化手术模型四项医疗3D打印的费用被纳入市场调节价医疗服务价格项目,未来或纳入医保系统,为患者带来更多福音。
来源:先临三维数字化与3D打印
白皮书下载,加入3D科学谷QQ群:106477771
网站投稿请发送至2509957133@qq.com
欢迎转载,转载请注明来源3D科学谷,并链接到3D科学谷网站原文。












