结构性心脏病(structural heart disease,SHD)是近年来心血管领域发展最快、成果最多的方向之一。传统影像检查多用于疾病诊断,在SHD治疗方面的作用略显不足。SHD的治疗,特别是介入治疗,需要影像学数据在手术规划、手术模拟以及术中预测方面提供更多的辅助和支持。
相较于SHD外科手术,介入治疗没有外科开放术野和直接触觉反馈。因此,基于围术期中对影像学的需要,手术操作方式、视野概念和围术期规划技术得以迅猛发展,不断拓展了临床器械设备的开发,提高了医生培训的教学工作质量,与患者之间的沟通更加顺畅。3D打印在临床管理和围术期规划中的应用明显缩短了初学者学习曲线,3D打印结合计算机建模,加速了设备测试中对流体力学的研发和理解,3D打印、计算机建模和人工智能的有效整合正在逐步改变医生培训模式和以患者为中心的医疗服务模式。
亮点
1)结构性心脏病治疗需要医师深入理解心脏的病理生理学;
2)3D打印技术可以明显缩短新技术新业务的学习曲线;
3)计算建模有助于模拟心脏病理生理状态下的物理生理特性;
4)AI技术有助于构建患者特异性解剖结构,进而促进手术模拟培训。
3D打印技术即增材制造技术,或称快速成型技术,该技术通过将以数字定义的几何图形上沉积多层材料,从而将影像数据转化为3D实物模型。心血管领域目前常用3D打印技术主要包括光固化快速成型(SLA)、选择性激光烧结(SLS)、熔融沉积成型(FDM)、喷墨式3D打印(Inkjet)、光聚合物喷射(Polyjet)等,它们的原理、优缺点及应用范围见表1[1]。
心血管疾病3D打印建模具体流程如下:
1)从计算机断层扫描(CT)、心脏磁共振(CMR)或三维经食管超声心动图(3D-TEE)等多模态影像中获取原始数据,存储为DICOM图像;
2)将DICOM图像导出,用于分割、绘制和生成STL文件;
3)STL文件导入到计算机辅助设计软件中,用于进一步的打磨、镂空、修剪、颜色编码和切割;
4)调整后,将STL文件导出用于3D打印(图1)。
获得合适的影像学数据是进行3D模型打印的第一个环节,图像质量的好坏直接关系到3D打印模型的质量。目前心血管3D打印的影像学数据主要来源于计算机断层扫描血管造影(CTA)、心脏磁共振(CMR)以及三维经食管超声心动图(3D-TEE)。CTA是目前临床上最常用的3D打印数据资源,具有采集速度快、空间分辨力出色、组织特征鉴别力强等特点[2]。与CTA相比,CMR虽然空间分辨率低、采集时间长,但避免了电离辐射,3D自由呼吸CMR广泛应用于儿童和年轻患者心血管3D打印[3,4]。3D-TEE具有方便易操作、可在床边进行、时间分辨率高等优势,但信噪比较低,图像后处理和三维建模较为麻烦,通常不适合于全心脏模型的3D打印[5-7]。
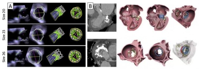
l 3D打印在经导管主动脉瓣置换术(TAVR)中的应用
患者1:1心脏3D打印模型在TAVR术前规划、选择合适的TAVR瓣膜、评估瓣周漏风险、预判传导阻滞发生、预判急性及迟发性冠脉阻塞有重要作用[8]。西京医院2016年至今,已完成3D打印辅助下TAVR手术700余例,将3D打印技术普遍应用于术前影像评估和手术规划,大大提高了手术安全性和成功率(图2)。3D打印的主动脉模型能有效模拟患者的血流动力学条件,对于体外模拟植入TAVR也有重要作用。
l 3D打印在经皮二尖瓣修复术中的应用
经皮二尖瓣修复术的迅猛发展不断催生二尖瓣领域3D打印技术的应用创新。在国内外学者的不懈努力下,很多公司已经可以用3D打印技术打印出正常或病变二尖瓣的瓣环和瓣叶结构[9,10]。
然而,二尖瓣复合体(包括瓣环、瓣叶、腱索和乳头肌)完整结构和功能的3D打印模型相较于简单的瓣环瓣叶打印模型更为重要,更有助于器械研发测试以及患者个体化手术规划。Vukicevic等[11]利用多种材料打印了二尖瓣复合体3D模型,用于MitraClip手术模拟和手术方案的制定(图3)。西京医院心外科团队利用3D打印二尖瓣模型进行手术模拟,可以让临床医生在短期内快速熟悉器械操作和手术流程,缩短学习曲线(图4)。
图4 西京医院3D打印二尖瓣模型体外进行经导管二尖瓣修复手术模拟
l 3D打印及虚拟模拟在经导管二尖瓣置换术中的应用
TMVR瓣膜置入后易引起左室流出道(LVOT)梗阻,可导致心律失常、充血性心力衰竭甚至死亡,特别是二尖瓣瓣膜钙化严重的老年患者,其发生率更高[12]。经食道超声及术前CTA对于LVOT梗阻的预测能力十分有限,而3D打印技术则表现出明显优势。通过加工处理获得患者特异性的3D打印模型,打印出重要解剖结构,包括二尖瓣复合体、左室流出道及心房面,通过计算机CAD模拟植入支架瓣膜假体,能动态地分析TMVR术后支架瓣膜对LVOT的影响,进一步通过调整植入假体的内径和长短,观测对LVOT的动态影响(图5)[13]。也有助于反馈给介入瓣膜的研发团队,从而不断改进和完善介入瓣膜。由于二尖瓣病变造成患者左房、左室、室间隔厚度的变化,每个患者的左室流出道及继环平面角度都不同,针对目前市面存在的介入二尖瓣,研究团队通过建立患者特异性的左心3D模型,通过将介入瓣模型植入,能更加真实地反映出患者特性的LVOT梗阻风险。
图5 二尖瓣3D打印模型模拟瓣膜植入以及LVOT梗阻风险评估
l 3D打印在左心耳封堵术中的应用
左心耳(LAA)封堵早期临床试验和可行性研究中,3D打印技术的作用并不突出;然而在LAA封堵器械在各大医院推广应用后,大家很快发现,未开展3D打印技术的医院,初学者在确定器械尺寸和植入操作技巧方面存在明显学习曲线[14]。3D打印左心耳模型使得术者对左心耳的大小、成角、受力区域及其周边组织的结构情况理解更透彻。此外,3D打印技术应用于LAA封堵术围术期规划能够帮忙医生确定各种型号器械在不同左心耳解剖结构中的锚定部位,选择最佳的器械、尺寸以及导管(图6)。
l 3D打印在经导管三尖瓣修复/置换术中的应用
经导管三尖瓣介入治疗是SHD介入领域的热点方向之一[15]。由于三尖瓣复合体结构复杂,瓣环、瓣叶、腱索、乳头肌等结构因人而异,传统影像学方法在评估右心解剖和三尖瓣复合体方面略显不足,而3D打印能很好地解决这一难题。Muraru等[16]证实3D TEE可作为正常/异常的三尖瓣瓣叶、瓣环结构的3D打印数据来源,用于手术策略的规划。Harb等[17]利用多模态影像数据(CT、3D TEE和CT结合、MRI和CT结合数据等)构建了一系列3D打印右心模型,对三尖瓣解剖形态进行了详细评估,重点关注三尖瓣与周围组织结构的相互作用,优化手术规划(图7)。Cabasa等[18]使用3D打印的右心模型,体外模拟Sapien XT瓣膜植入三尖瓣。
l 对患者的教育指导
在围术期期间,3D打印的实用价值不仅仅局限于术前规划。通过3D打印模型可增强医生与患者之间对治疗方式选择的讨论质量、提升患者参与度和满意度。传统的术前知情同意需要患者对医生所描述的2D图像进行理解,而在患者教育中早期使用3D模型则大大提高了患者对手术的理解和反馈。
l 目前3D打印的局限性
理想情况下,心血管3D打印模型应能够同时展现活体器官的解剖特征和生物特性。对于体外测试和/或手术模拟,3D打印模型最好能模拟心脏在整个心动周期中的动态变化;然而,目前材料尚无法满足模拟心脏的非线性和各向异性表现。为了能够使3D打印更好地模拟器官的形态和生物特性,必须对3D打印材料做进一步深入研究。
静态的3D打印模型能够大大缩短研发部门从介入治疗理念提出到临床应用的周期。此外,最新的静态3D打印技术可以在模拟患者自身血流动力学条件下,对介入瓣膜及其输送系统进行体外测试(图8)。然而,3D打印模型无法模拟心脏的生物力学特性、组织形态变化、血流动力学以及它们之间的交互作用。
注:A-1:CT获取原始数据;A-2:在3D打印的主动脉根部模型释放TAVR瓣膜;A-3:测量瓣环各处径向受力情况;A-4:预测术后瓣周漏情况;B-1:将3D模型连接到搏动血流模拟器上;B-2,3:核磁和超声检测血流状态以及瓣叶活动度。
计算机建模通常可以通过有限元分析(FEA)和计算流体力学(CFD)等数值分析方法进行心脏形态和压力的量化分析,从而展示心脏血流动力学情况(图9)[19]。但计算机建模非常耗时,一般需要数小时到数天,费用较高,而且对建模简化过程中所采用简化方法和假设十分敏感。有些研究将左室心内膜假设为光滑的表面,而这种假设会导致心室内血流动力学评估出现偏差。Kulp等[20]通过对3D打印的心内膜表面补充分析肌小梁的结构,进一步完善了心室内血流的CFD模拟。结果显示,心内膜肌小梁结构对左室血流动力学有重要影响,心衰时会引起血流停滞。目前,能够用于临床的计算机建模工具(如FEA、CFD)较少,而且该技术的实施需要特殊的编程/工程技术,因此多在科研机构中使用。在临床工作中,已实现在计算机建模心脏解剖结构的基础上进行介入瓣膜的模拟植入,确定最佳瓣膜尺寸和植入深度(图10)[12,13]。在TMVR术前也可以对neo-LVOT进行评估,TMVR术后的LVOT阻塞不仅取决于neo-LVOT的解剖结构,也取决于左室血流动力学状态(图11)。
人工智能(AI)技术,或称机器学习,能够从大量的临床数据中解读出极为复杂的内在规律,在医疗行业应用前景广阔。如前文所述,SHD领域涉及大量临床数据参数(包括正在使用、未使用以及尚未测量的数据),3D结构可视化未达标准,4D生理机能在不同年龄、性别、种族的患者间存在显著差异。而人工智能(AI)技术可以有效解决上述问题,在提高患者医疗服务质量的同时降低医疗费用。
l AI技术助力SHD介入治疗
AI与3D打印技术相结合,可以打印出个体化解剖模型,进而促进精准医疗。Engelhardt等通过使用深度神经网络从腔镜视野中学习术中关键操作和步骤,展示了AI强大的微创手术培训能力。计算机网络可从腔镜二尖瓣修复手术中获取其关键特征(包括纹理不均的组织结构、血流情况、器械以及缝线使用等),从手术模拟中获取其显著特征(如瓣膜复制品的硅胶表面、器械以及缝线使用等)。AI训练的目的就是通过学习实际手术和模拟手术两者之间的映射联系,使得模拟手术的操作视野更接近于实际操作视野。该方法被称为“超现实主义”,是增强现实的一种形式,即通过产生原始图像中本不存在细节的模拟现实,来实现比真实手术更为真实的渲染效果,进而达到提升手术训练质量的目的[58]。图12展示了使用二尖瓣人工硅胶瓣膜进行介入手术训练的超现实主义。
l AI技术在介入医生和介入影像医生培训中的应用
基于超现实主义和AI模拟在医疗器械培训中展现出的潜在适应性,使得未来它们可能成为新技术蓬勃发展的基础。通过在手术模拟中集成完整的心脏瓣膜模型,AI技术能明显提升术者对手术器械操作和术中技术应用的信心[21,22]。在深度学习框架中,将AI应用于术中TEE处理,允许计算机对自动客观获得的TEE图像进行质量评估和反馈。例如,在TAVR培训的过程中,计算机通过对于术者手术操作和器械操作的自动化评估已经发现了某些客观指标(如新手和专家在操作时间、速度、加速度等方面的差异)是可被计算机复制的[22]。未来,实时3D-TEE数据与机器学习和AI的结合,将有助于提供更客观有效的介入影像医师和术者培训模式。
l AI技术的其他应用
AI可用于上传、共享和检索全球众多外科医生和介入医生手术视频、术中影像和电子病历[23],创建出一个旨在提升医师实践技术水平的综合数据库。推进机器学习和AI技术的潜在好处是能够优化并生成更多的来源于实时3D TEE成像的瓣膜模型(图13)。而且AI可以帮助识别罕见的解剖结构并整合围术期各种临床数据(图14)。
注:A:实时3D TEE影像;B和C:AI通过对3D TEE影像进行色彩渲染,可清晰显示二尖瓣收缩期和舒张期P2区域腱索断裂和瓣叶脱垂;D:该病例的术中影像。
注:将3D打印技术、手术模拟、流体建模和AI整合,是将来临床培训、器械研发和精准医疗的重要发展方向。
l 需要解决和克服的技术挑战
当前,AI在实际应用中的主要挑战是大量非结构化临床数据的存在。数据收集的基础是合适的源图像、服务器之间文件转换的兼容性,以及直接上传到“学习云”的效率。一旦上传的数据被整合到“学习云”中的现有数据集中,AI算法将被激活和改进,新数据将被用来组成更精简的流程。随着新数据集被添加到其训练集中,AI 算法也将变得更加准确和高效。
在SHD介入治疗中,3D打印、计算机建模和人工智能均有重要作用。早期应用这些技术可以明显缩短新器械、新技术的学习曲线。未来的计算机建模和深度学习应用将需要将患者术中情况和患者数据安全地整合到患者病历和医疗数据采集和共享平台中。未来的多模态心血管成像需要将心血管临床知识与生物医学工程以及计算机软件开发的各类知识不断结合,这将不再仅仅是一个临床医生就能够完成的。
参考文献
[1] Wang D D, Qian Z, Vukicevic M, et al. 3D Printing, Computational Modeling, and Artificial Intelligence for Structural Heart Disease[J]. JACC Cardiovasc Imaging,2021,14(1):41-60.
[2] Jian Yang, Alex Pui-Wai Lee, Vladimiro L. Vida. Cardiovascular 3D Printing: Techniques and Clinical Application[M]. 1st Edition. Springer, 2021:145-170
[3] 杨剑,吴永健。经导管主动脉瓣置换术中的3D打印技术——应用与实践[M]。 第1版. 北京:化学工业出版社,2022:95-145
[4] Costello J P, Olivieri L J, Krieger A, et al. Utilizing Three-Dimensional Printing Technology to Assess the Feasibility of High-Fidelity Synthetic Ventricular Septal Defect Models for Simulation in Medical Education[J]. World J Pediatr Congenit Heart Surg,2014,5(3):421-426.
[5] Binder T M, Moertl D, Mundigler G, et al. Stereolithographic biomodeling to create tangible hard copies of cardiac structures from echocardiographic data: in vitro and in vivo validation[J]. J Am Coll Cardiol,2000,35(1):230-237.
[6] Mahmood F, Owais K, Taylor C, et al. Three-dimensional printing of mitral valve using echocardiographic data[J]. JACC Cardiovasc Imaging,2015,8(2):227-229.
[7] Fan Y, Yang F, Cheung G S, et al. Device Sizing Guided by Echocardiography-Based Three-Dimensional Printing Is Associated with Superior Outcome after Percutaneous Left Atrial Appendage Occlusion[J]. J Am Soc Echocardiogr,2019,32(6):708-719.
[8] Ripley B, Kelil T, Cheezum M K, et al. 3D printing based on cardiac CT assists anatomic visualization prior to transcatheter aortic valve replacement[J]. J Cardiovasc Comput Tomogr,2016,10(1):28-36.
[9] Mahmood F, Owais K, Montealegre-Gallegos M, et al. Echocardiography derived three-dimensional printing of normal and abnormal mitral annuli[J]. Ann Card Anaesth,2014,17(4):279-283.
[10] Kapur K K, Garg N. Echocardiography derived three- dimensional printing of normal and abnormal mitral annuli[J]. Ann Card Anaesth,2014,17(4):283-284.
[11] Vukicevic M, Mosadegh B, Min J K, et al. Cardiac 3D Printing and its Future Directions[J]. JACC Cardiovasc Imaging,2017,10(2):171-184.
[12] Wang D D, Eng M, Greenbaum A, et al. Predicting LVOT Obstruction After TMVR[J]. JACC Cardiovasc Imaging,2016,9(11):1349-1352.
[13] Wang D D, Eng M H, Greenbaum A B, et al. Validating a prediction modeling tool for left ventricular outflow tract (LVOT) obstruction after transcatheter mitral valve replacement (TMVR)[J]. Catheter Cardiovasc Interv,2018,92(2):379-387.
[14] Wang D D, Eng M, Kupsky D, et al. Application of 3-Dimensional Computed Tomographic Image Guidance to WATCHMAN Implantation and Impact on Early Operator Learning Curve: Single-Center Experience[J]. JACC Cardiovasc Interv,2016,9(22):2329-2340.
[15] Avenatti E, Barker C M, Little S H. Tricuspid regurgitation repair with a MitraClip device: the pivotal role of 3D transoesophageal echocardiography[J]. Eur Heart J Cardiovasc Imaging,2017,18(3):380.
[16] Muraru D, Veronesi F, Maddalozzo A, et al. 3D printing of normal and pathologic tricuspid valves from transthoracic 3D echocardiography data sets[J]. Eur Heart J Cardiovasc Imaging,2017,18(7):802-808.
[17] Harb S C, Rodriguez L L, Svensson L G, et al. Pitfalls and Pearls for 3-Dimensional Printing of the Tricuspid Valve in the Procedural Planning of Percutaneous Transcatheter Therapies[J]. JACC Cardiovasc Imaging,2018,11(10):1531-1534.
[18] Cabasa A S, Eleid M F, Rihal C S, et al. Tricuspid Valve Replacement: A Percutaneous Transfemoral Valve-in-Ring Approach[J]. JACC Cardiovasc Interv,2015,8(8):1126-1128.
[19] Wang Q, Primiano C, Mckay R, et al. CT image-based engineering analysis of transcatheter aortic valve replacement[J]. JACC Cardiovasc Imaging,2014,7(5):526-528.
[20] Kulp S, Gao M, Zhang S, et al. Using high resolution cardiac CT data to model and visualize patient-specific interactions between trabeculae and blood flow[J]. Med Image Comput Comput Assist Interv,2011,14(Pt 1):468-475.
[21] Engelhardt S, Sauerzapf S, Brcic A, et al. Replicated mitral valve models from real patients offer training opportunities for minimally invasive mitral valve repair[J]. Interact Cardiovasc Thorac Surg,2019,29(1):43-50.
[22] Mazomenos E B, Chang P L, Rippel R A, et al. Catheter manipulation analysis for objective performance and technical skills assessment in transcatheter aortic valve implantation[J]. Int J Comput Assist Radiol Surg,2016,11(6):1121-1131.
[23] Hashimoto D A, Rosman G, Rus D, et al. Artificial Intelligence in Surgery: Promises and Perils[J]. Ann Surg,2018,268(1):70-76.
l 作者
毛予、翟蒙恩、金屏、刘洋、杨剑
文章转载自:严道医声
l 谷专栏 l
欢迎高校及科研机构、企业科学家加入谷专栏,与业界分享对推动增材制造发展起关键作用的共性基础科研与应用成果,欢迎扫描下方图片二维码提交您的信息。
白皮书下载 l 加入3D科学谷QQ群:106477771
网站投稿 l 发送至2509957133@qq.com
欢迎转载 l 转载请注明来源3D科学谷 l 链接到3D科学谷网站原文。






















