根据成都商报-红星新闻的报道,2021年9月30日,四川大学华西医院骨科周宗科教授团队成功为患有膝关节骨关节炎的患者植入了3D打印分区骨小梁生物型膝关节假体。
患者吴婆婆饱受膝关节疼痛折磨多年。10月19日,患者回到四川大学华西医院骨科随访复查,在接受手术约20天后,恢复了正常的行走能力。
据了解,华西医院骨科为患者植入的这种新型假体与传统骨水泥假体相比,其通过假体—骨界面紧密接触,促使骨组织长入假体,提高假体与髓腔的结合强度,从而达到假体的长期稳定。使用生物型人工膝关节,可保存患者骨量,同时避免或降低了骨水泥所导致的毒副作用。
患者今年68岁,饱受膝关节疼痛折磨多年。近两年来,症状明显加重,不仅上楼、下蹲时膝关节疼痛难忍,久坐后也无法站立行走,甚至平路行走都难以超过300米。走路姿势一瘸一拐,生活质量受到严重影响。患者辗转多家医院,被诊断为膝关节骨关节炎,接受了镇痛药物、理疗和关节腔内注射药物等治疗,效果均不理想。
今年9月,华西医院正式牵头开展生物型膝关节假体全膝关节置换术临床研究项目,该项目与传统骨水泥假体全膝关节置换术相比,在获得更好的疗效的同时,可以减轻患者的经济负担。在经过周宗科教授的全面评估,以及患者签署知情同意书之后,确定了通过手术进行治疗的方案。
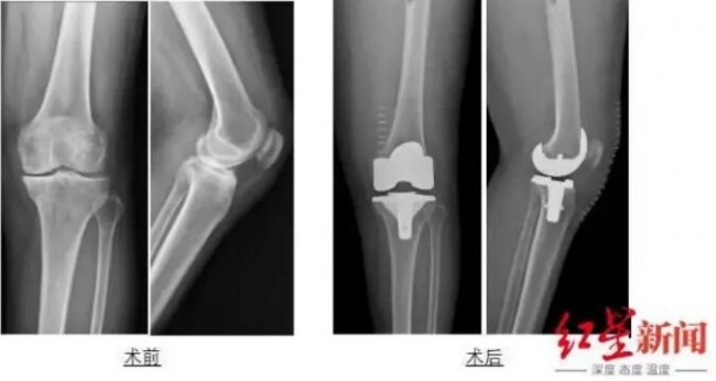
9月30日下午,周宗科教授团队成功为吴婆婆施行了左膝关节置换术。术中植入生物型膝关节假体时无需骨水泥对假体进行固定,手术时间得到明显缩短。术后X线片显示,假体与骨完美匹配,固定良好,位置正常,吴婆婆左膝畸形得到完全纠正,膝关节活动度好。困扰患者多年的膝盖问题最终得到解决。
膝关节骨关节炎是一种膝关节退行性疾病,在中老年群体中,发病率较高。随着经济发展和老龄化趋势日益明显,膝关节置换术的需求量越来越大。此外,患者对膝关节置换术后的生活质量和假体寿命有了更高的要求,这就对假体设计和研发提出了新的要求。3D打印分区骨小梁生物型膝关节假体正是在这种高需求与高期待的新形势下应运而生。
根据周宗科教授的介绍,该款植入物的胫骨平台假体采用了3D打印骨小梁分区技术,三分区设计使宿主骨均匀骨长入,避免因应力分布不均而造成平台假体松动等问题。
目前临床上使用的膝关节假体多为骨水泥固定型假体,骨水泥即骨粘固剂,它可以将膝关节假体固定在骨界面上。骨水泥固定存在一定局限,如骨水泥单体具有一定的毒性;与骨接触面的骨溶解问题;随着时间推移,会发生变形和退变等。
本次植入的生物型膝关节假体在术中无需使用骨水泥,通过机械方式进行固定,即假体与骨组织的紧密结合,获得假体的初始稳定性,远期骨组织长入假体表面的微孔内部,实现由机械固定向生物内锁固定的转化,最终经过骨整合作用获得良好固定,预期能够获得更长的假体寿命。
此外,生物型膝关节假体避免了骨水泥相关并发症的发生,缩短了手术时间,最大程度保留了骨组织。因而减轻了患者术后疼痛,降低了围术期并发症发生率,有利于患者术后快速康复。
深入了解3D打印骨科植入物产业化发展进程,敬请前往《3D打印与骨科植入物白皮书》。
点击图片,前往3D科学谷最新《3D打印与骨科植入物白皮书》。
白皮书下载,加入3D科学谷QQ群:106477771
网站投稿请发送至2509957133@qq.com
欢迎转载,转载请注明来源3D科学谷,并链接到3D科学谷网站原文。











