以下文章来源于交大医学3D打印创新研究中心
2020年1月7日,上海九院骨科郝永强教授团队利用3D打印技术,为患者樊女士成功实施了右肘肿瘤精准切除和植入了为她“量身定制”的3D打印肘部(肱骨远端)个性化重建假体的手术。“私人定制”的钛合金人工假体帮樊阿姨如愿地保住了完整右上肢,且肘关节功能大为改善。此台手术不仅是1月1日施行《定制式医疗器械监督管理规定(试行)》后完成的第一台定制式医疗器械植入手术,据悉,此前郝永强教授团队在戴尅戎院士带领下已为近200名患者实施了3D打印个性化假体重建手术。
定制式医疗器械,是指为满足指定患者的罕见特殊病损情况,在我国已上市产品难以满足临床需求的情况下,由医疗器械生产企业基于医疗机构特殊临床需求而设计和生产,用于指定患者的、预期能提高诊疗效果的个性化医疗器械。 [1]
近年来,肿瘤日益成为严重威胁人类健康和生命的重大问题,肿瘤发病率逐年上升,其治疗已成为公认的世界性难题。当肿瘤发生在骨盆、髋、膝、肩、踝、腕等骨关节部位时,肿瘤边界难以确定且肿瘤切除后骨关节缺损形态复杂、个体差异大,传统标准假体无法重建或重建后功能不佳。3D打印个性化关节假体,为骨肿瘤等过去无法治疗的骨科严重疾病找到了新的治疗方式,不仅给患者创造了生存下来的机会,也让很多原本生活质量很差的骨科疾病患者提高了生活质量。郝永强教授说,基于3D打印技术的个性化医疗,在一些疾病的治疗上能“锦上添花”,对某些疾病,就是救命的“雪中送炭”。
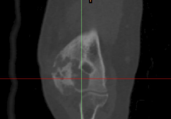
患者樊某,女性,62岁,主诉:15年无明显诱因发现右肘部肿物,伴疼痛酸胀等不适。2016年患者曾于外院行手术切除,术后病理示:血管瘤。术后仍伴疼痛酸胀不适,2017年于上海第六人民医院穿刺活检示:海绵状血管瘤;现患者述右上肢持续性疼痛,较前加重,口服止痛药后可缓解,为进一步诊治,遂来九院门诊。查体诊断为“右肱骨远端骨内血管瘤”。
由于右肘关节受血管瘤侵及,现右肱骨远端骨质严重破坏,拟行右肘部肱骨远端肿瘤切除+右肱骨远端个性化假体重建手术,为精准重建切除后的肱骨远端复杂关节骨缺损,为其定制了3D打印个性化肱骨远端假体。
参考资料
1《定制式医疗器械监督管理规定(试行)》正式发布。中华人民共和国中央人民政府
白皮书下载,加入3D科学谷QQ群:106477771
网站投稿请发送至2509957133@qq.com
欢迎转载,转载请注明来源3D科学谷,并链接到3D科学谷网站原文。













