以下文章来源于世界牙科技术
数字化牙科工艺技术领域的发展速度惊人。尽管在减材制造(铣削加工)领域已经能够制作出适合度很高的产品,加工能力也已经达到了很高的水平,但是增材制造技术(3D打印)正变得越来越重要。早在20世纪80年代初,第一批用于增材制造的工业机器就已经进入市场,而第一台3D打印机于1986年由查尔斯-赫尔(Charles Hull)推出。当时,3D打印机主要用于原型制造(Rapid Prototyping 快速成型)。在接下来的几年里,该项技术发展迅猛。随着所谓的FDM工艺(FDM = 熔融沉积成型)的专利在2009年到期,3D打印机开始在消费领域大显身手。最近,这种动态发展的技术也越来越多地转向到牙科领域。3D打印机变得更小、更便宜,应用范围也发生了变化。用于打印的材料扩大到包括复合材料、金属、陶瓷,甚至人体组织。
牙科3D打印并不是一项全新技术,增材制造在牙科技术领域中的建立已将近20年。其中的一个实例是德国贝格公司(BEGO Medical)的选择性激光熔覆技术(Selective Laser Melting,SLM)。在2002年11月,这项金属打印技术的相关文献介绍就已经引起了人们的关注。这项由BEGO公司申请专利的激光熔覆技术被应用在牙科领域,它代表了当时非贵金属(NEM)合金加工的革命。此外,立体光刻技术(SL)也已在牙科行业应用了多年。这是基于激光束或蓝光 -LED(DLP技术=数字光处理(Digital Light Processing)=掩模曝光)对树脂(环氧树脂、丙烯酸酯)进行逐点固化的工艺。
由于购买成本的原因,直到几年前,牙科3D打印机的应用还一直停留在工业或大型制作中心层面。一段时间以来,越来越多的打印机已经可以下沉到 “普通”的牙科技工室了。此外,来自行业以外的拥有增材制造技术的企业也进入牙科市场。通过相对便宜的设备,牙科技工室也能够加工树脂/复合材料产品,例如用于牙科的准备性工作服务,诸如上下颌模型或者外科导板。
业内一直都有这样的一个疑问,正式的修复体能否由3D打印机打印?这个问题必须从材料学角度,或者根据现有的3D打印材料来解答。毕竟,对于要永久留在口腔内的牙齿修复材料要求很高。用于正式修复体的材料,既要能够承受高机械载荷,也要能够耐受口内的各种化学影响。在佩戴期间,不能有任何有害物质释放出来,而且材料必须具有一个光滑的表面,以防止细菌堆积(菌斑附着)。此外,还要有一个切实可行的、经济实用的制造工艺,而且必须能达到微米级的制造精度。
自2020年2月以来,BEGO公司成为全球第一家可以提供3D打印正式修复体可能的公司,也就是,3D打印一种由陶瓷填充的混合材料来制作单颗牙齿的修复体。使用VarseoSmile Crown plus材料,可以以增材制造工艺加工单冠、嵌体、高嵌体和贴面。该材料在临床前期科研中得到了广泛的测试研究,显示出卓有前景的实验结果。特别要指出的是,科研人员已对该产品进行了断裂负荷(初始和人工老化后)、耐磨性、粘接的长期稳定性、溶解性和细胞毒性的研究。
特别值得一提的是,Varseo XS设备(BEGO公司)是一台价格低而分辨率高的DLP 3D打印机,在制作修复体时具有出色的细节分辨率(图1)。在制作平台上可以同时打印多达20个独立的牙齿修复体。该打印机可以连接网络,因此能够与电脑进行快速和简便的数据交换。
图1:BEGO Varseo XS是一款成本低且分辨率高的DLP 3D打印机,具有出色的细节分辨率(图片:BEGO公司提供)。
打印过程结束后, 用乙醇清洗修复体,然后用抛光珠(例如Perlablast micro,BEGO公司)进行喷砂处理。之后,修复体在BEGO Otoflash光固化设备中再次聚合。由于打印修复体的表面非常光滑而均匀,因此精修整只需平滑表面及随后抛光即可(图2)。另外,最终聚合的修复体也可以用市面上的复合树脂染色剂进行个性化处理(图3)。修复体必须用自粘接材料(如RelyX Unicem自粘接树脂水门汀,3M公司,德国)或带有单独Primer 处理剂的树脂水门汀(如Variolink Esthetic DC和Monobond Plus;义获嘉伟瓦登特公司,列支敦士登)粘接固定。VarseoSmile Crown plus混合材料有七种颜色(A1、A2、A3、B1、B3、C2、D3)可供选择使用。
图2:在BEGO CAM-Creator软件中,牙冠的CAD文件被添加了支撑结构,然后转换成相应的数字化结构层(=切片)。
图3:用VarseoSmile Crown plus制作的修复体可以用市售的复合树脂染色剂进行个性化处理。
科学研究层面
VarseoSmile Crown plus是世界上第一款用于3D打印正式的单冠、嵌体、高嵌体和贴面的陶瓷填充混合材料。一系列的临床前期科研项目对此进行了各个方面的测试研究。本报告将介绍用VarseoSmile Crown plus材料以增材制造技术加工的冠修复体的脱粘行为以及关于初始断裂强度的实验结果。
研究综述
项目研究的目的是确定VarseoSmile Crown plus材料制作的冠修复体在接近使用条件下的脱粘倾向。对照组是由3M Lava Ultimate材料(3M公司)和VITA ENAMIC材料(维他公司,德国)制作的单冠。研究测试了冠修复体粘接的长期稳定性、脱粘行为,以及形成边缘缝隙(=微渗漏)的趋势。
测试使用的代型由纤维增强型复合树脂TRINIA(Bicon公司,美国)制成,冠修复体由VarseoSmile Crown plus经增材制造技术加工而成,对照组冠修复体则由VITA ENAMIC和Lava Ultimate制作(表1)。本研究设计了10个实验组,共80个样品(每组的样品数量n = 8)。为本研究准备了总共92个测试样本。84个样品用于拉脱试验(其中4个用于预试验),8个样品用于断裂试验。
表1:实验组的分类。
所有的力测量都是用1445型通用型试验机(Zwick/Roell公司,德国)测定完成。通过一个软件(testXpert,7.11/d,Zwick/Roell公司)来控制可移动十字头的速度和位置。对冠拉脱力的测试,速度为0.5 mm / 分钟,初始力为0 N。样品在钢丝绳的帮助下被牵拉(图4),钢丝绳是活动式安装的,以便在拉力的方向上使样品测试时获得一个很好的平衡。
图4:1445型通用型试验机(Zwick/Roell公司)中的提拉装置。
通过μCT分析,在样品中随机调查了边缘间隙(微渗漏)形成的趋势。μCT分析的目的是确定样品5至12的冠通过一个在拉脱实验前进行的咀嚼模拟,在边缘区域的代型和冠之间是否存在微隙(边缘微渗漏)。
断裂载荷同样是在1445型通用型试验机上测定的。测试以0.5 mm /分钟的测试速度和0 N的初始力进行。用一个直径为6 mm的钢冲头来进行断裂测试。在冲头和冠之间插入一张厚度为0.5 mm的锡箔,以均匀地分配力量(图5)。
研究结果总结
总的来说,研究得出的所有由VarseoSmile Crown plus制成的牙冠的拉脱值都在一个较高的范围内(从MW = 786.63 N(SD = 137.62 N)到MW = 1223.75 N(SD = 119.16 N),同时,由已上市材料VITA ENAMIC和3M Ultimate制作的冠的拉脱值也分布在这个范围内(图6)。在临床上,暴露在这些高的轴向拉力下,很可能会在粘合剂失效之前导致牙齿的拔出。VarseoSmile Crown plus牙冠显示的断裂强度(图7)高于可接受的平均生理咀嚼力(MW = 1926.38,SD = 342.32)。μCT分析的断面图像显示,在边缘区既没有扩大的边缘间隙,也没有受损的粘结剂层或者没有出现牙冠相对于代型沿Z轴的位移(图8)。由此可以得出,在人工老化过程中,所检测的样本在边缘区域没有发生冠与代型的分离,因此没有微漏的迹象。
图6:五个VarseoSmile Crown plus组的牙冠拉脱试验的箱形图。
独立性评价和展望
为了能够对VarseoSmile Crown plus制成的冠修复体的临床使用进行全面评估,除了这里获得的结果外,还需要进行更多的研究。因此,有不同的机构对该牙冠的断裂负荷(初始和人工老化后)、耐磨性、磨损和表面粗糙度(5年刷牙模拟)、溶解性和细胞毒性做了进一步的研究。而进一步在临床病人中进行研究调查Varseo Smile Crown plus制成的修复体的长期性表现,同样也是有意义的。
从作者在技术和主观的评估中可以看出,Varseo XS打印机展现了非常干净的打印结果,打印物体表面的细节水平很高(图9)。第一批临床试验应用显示,修复体的适合度非常好,而且具备出色的美学效果(图10至14)。由于复合材料表现出类似于天然牙齿的乳白色效果,因此用VarseoSmile Crown plus制成的修复体在口腔中具有非常自然的外观。通过对冠的个性化处理,例如在咬合区加用复合树脂染色剂(Optiglaze Color)可以进一步提高其美学外观。目前制造商正在努力尝试,使该材料具有荧光特性(图15和16),从而使修复体的美学效果更接近于天然牙齿。牙科3D打印复合材料发展的下一个逻辑步骤,也可能是将其应用范围扩大到多颗牙的修复中。
图9:BEGO Varseo XS打印机的突出特点是打印表面的精度高和细节度高。这里图示的是3D打印的釉牙本质交界(Dentin-Enamel-Junction,DEJ)和天然牙齿牙釉质外表面(Outer Enamel Surface,OES)。
图10:用BEGO Varseo XS打印出来的带有支撑结构的VarseoSmile Crown plus单冠。
图11:使用复合树脂染色剂(Optiglaze Color, GC德国公司)个性化处理冠的咬合区域。
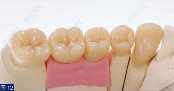
图12至14:最初的临床修复结果显示,修复体的适合度非常好,美学效果很好,口内外观非常自然。
图15:日光下的天然牙齿和VarseoSmile Crown plus材料制作的牙冠。
图16:在黑光(紫外光)下清晰可见,由VarseoSmile Crown plus材料制作的冠具有与天然牙齿非常相似的荧光效果。
文章来源:世界牙科技术
知之既深,行之则远。基于全球范围内精湛的制造业专家智囊网络,3D科学谷为业界提供全球视角的增材与智能制造深度观察。有关增材制造领域的更多分析,请关注3D科学谷发布的白皮书系列。
白皮书下载 l 加入3D科学谷QQ群:106477771
网站投稿 l 发送至2509957133@qq.com
欢迎转载 l 转载请注明来源3D科学谷 l 链接到3D科学谷网站原文













