传统上,治疗腕关节骨折通常需要使用石膏来保持骨折部位的稳定,促进愈合。而近年来,随着3D打印技术的发展,个性化外固定支具的制造变得更加容易和精准。
近日,上海第九人民医院王金武教授团队分享了通过3D打印外固定支具助力患者腕关节骨折恢复的案例。
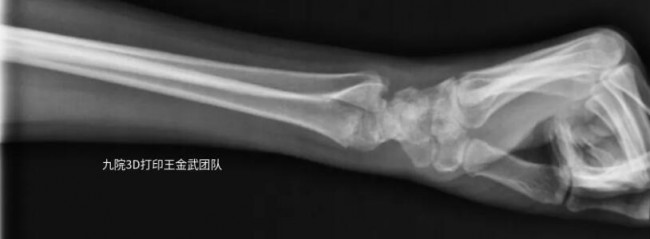
患者左臂桡骨远端骨折,骨折固定后佩戴3D打印固定支具辅助恢复情况良好。
腕关节骨折通常由以下原因引起:
1. 意外摔倒:在日常生活中,意外摔倒是导致腕关节骨折最常见的原因之一。
2. 运动受伤:在进行体育运动时,如滑板、滑雪、篮球等,腕关节骨折也可能发生。
3. 交通事故:高速碰撞或其他交通事故可能导致严重的腕关节骨折。
4. 骨质疏松:骨质疏松症会使骨骼更脆弱,增加了骨折的风险。
以下是3D打印外固定支具在治疗腕关节骨折中的主要优势:
1. 个性化设计:通过3D扫描患者的腕部,医生可以获取精确的解剖数据,利用计算机辅助设计软件制作出符合患者腕部形态的个性化外固定支具。
2. 精准适配:3D打印技术可以根据患者的具体情况制造出精准适配的外固定支具,减少因尺寸不合适而导致的不适感和压力溃疡等并发症的发生。
3. 轻量化设计:与传统石膏相比,3D打印外固定支具通常更轻便舒适,患者可以更自如地进行日常活动,同时减轻对受伤部位的负担。

4. 快速制造:采用3D打印技术可以快速制造出外固定支具,缩短治疗过程,减少患者等待时间。
l 来源:九院3D打印中心王金武团队
知之既深,行之则远。基于全球范围内精湛的制造业专家智囊网络,3D科学谷为业界提供全球视角的增材与智能制造深度观察。有关增材制造领域的更多分析,请关注3D科学谷发布的白皮书系列。
白皮书下载 l 加入3D科学谷QQ群:106477771
网站投稿 l 发送至2509957133@qq.com
欢迎转载 l 转载请注明来源3D科学谷 l 链接到3D科学谷网站原文













